Asiaticoside Powder
CAS No: 16830-15-2
Specification: 10%~95% Asiaticoside
Appearance: Light yellow powder
Test Method: HPLC
Lead time: 1-3 days
Storage: Cool dry place and avoid light
Shelf Life: 2 years
MOQ: 1KG
Sample: Free sample available
Certifications: GMP, ISO9001:2015, ISO22000:2018, HACCP, KOSHER and HALAL
Payment: Multiple terms acceptable like T/T, LC, DA
Advantage: 100,000 level clean production workshop, Non-additive, Non-GMO, radiationless qualified product.
- Fast Delievery
- Quality Assurance
- 24/7 Customer Service
Product Introduction
What is Asiaticoside Powder?
Asiaticoside Powder is a triterpenoid saponin compound extracted from the whole plant of Centella asiatica. It is a light yellow to light brown powder; odorless, bitter, and slightly hygroscopic. It has the effect of promoting wound healing. It is used to treat trauma, surgical trauma, accelerate wound healing, and resist fibrosis.
As a professional manufacturer of Centella asiatica extract, Kintaihealth® has been committed to the research, production and sales of Centella asiatica for more than ten years. Asiaticoside is green and natural, with stable quality and a content of up to 95%. It can be used in a variety of formulas such as creams and ointments. We have sufficient inventory, and those who are interested are welcome to consult and purchase! Click here to order!

Asiaticoside Powder Details
Production Process of KINTAI's Asiaticoside Powder
Generally, the dried raw material (Centella asiatica) is extracted with 80% propylene glycol or ethanol. For ethanol extracts, they need to be filtered, concentrated, precipitated, filtered again and packaged after extraction. (Some use methanol extraction to reduce production costs, but we insist on green and natural and use ethanol)
The preparation method of the ethanol extract of Centella asiatica is as follows: the whole plant is washed, dried and ground into powder. Take 5 grams of dry powder, extract it with 50 ml of 80% ethanol, filter it, and evaporate the filtrate to dryness under vacuum conditions. The final solvent-free extract yield is 20%.
Raw materials → crushing → extraction → concentration → separation → purification → spray drying → product
COA of Asiaticoside Powder

The Main Effects of Asiaticoside Powder
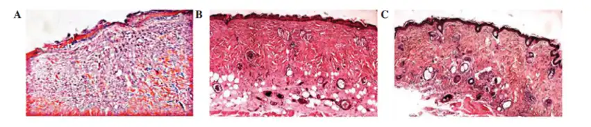
1. Promote collagen synthesis
Type I and type III collagen are the main components of the skin dermis, and Centella asiatica extract can promote the synthesis of these two types of collagen, thereby densifying the collagen in the papillary dermis.

A: Untreated skin section; B: 1% Centella asiatica extract aqueous solution (8 days)
2. Promote wound healing
Asiaticoside powder and madecassoside can induce the synthesis of type I collagen in dermal-derived human fibroblasts through the phosphorylation of Smad2 and Smad3, reduce oxidative stress on the wound surface, and thus promote wound healing.

A: Vaseline; B: Asiaticoside; C: Madecassoside (14 days)
3. Anti-inflammatory skin pigmentation
Madecassoside can block UV-induced inflammation and inhibit the expression of COX-2 and PAR-2 induced by UVB, thereby inhibiting melanin synthesis and melanosome transfer.
In a human clinical trial, 23 subjects used 0.05% madecassoside. After 8 weeks, the UV-induced melanin index was significantly reduced compared with the blank group.

4. Anti-inflammatory effects
Inhibits the production of prostaglandins and inhibits the expression of COX-2 and PAR-2 induced by UVB, thereby reducing the inflammatory response of UV rays to the skin.
It can significantly reduce the levels of inflammatory cytokines TNF-α and IL-6, and protect nerve cells from damage caused by inflammation and autophagy induction.
Studies have shown that hydroxy-madecassoside can significantly attenuate type II collagen-induced arthritis in mice and can be used clinically for the treatment of rheumatoid arthritis.

5. Delay skin aging
Protects endothelial cells from lipid peroxidation, cell damage and apoptosis caused by H2O2.
It has a significant inhibitory effect on the formation of carboxymethyl lysine induced by the glycinating agent methylglyoxal, which shows that it has an anti-glycation effect.
Protects cell DNA from skin damage caused by ultraviolet rays and glycation, thereby playing a role in resisting skin photoaging and delaying skin inflammatory aging.
Applications of Asiaticoside Powder
✓ Scar and stretch mark removal products
✓ Repair products (after-sun, inflammation, acid peels, acne skin repair, etc.)
✓ Anti-allergic and soothing products
✓ Whitening products
✓ Anti-aging products
✓ Moisturizing products, etc.
Asiaticoside powder can not only be used in the field of cosmetics, but is also very popular in medicines and health products. It plays an important role in anti-inflammation, anti-tumor, immune regulation, protection of the lungs and nervous system, and improvement of cognition. It can be used to treat hepatopulmonary fibrosis, cardiovascular disease, skin hypertrophic scars, tumors, osteoporosis and other related diseases.

FAQ
Q: Is your Asiaticoside Powder safe for cosmetic use?
A: Yes, our product is high-purity (>95%) and free from heavy metals, solvents, and microbial contamination.
Q: Is your product tested for purity and potency?
A: Yes, each batch is tested via HPLC (High-Performance Liquid Chromatography) to verify purity, and a Certificate of Analysis (CoA) is available upon request.
Q: Do you offer bulk or wholesale pricing?
A: Yes, we provide discounts for bulk orders. Contact our sales team at info@kintaibio.com for customized quotes.
Our Certifications

Advantage Of KINTAI

Parcel and Shipping

Hot Tags: Asiaticoside Powder, Centella Asiatica Leaf Extract, Centella Asiatica Extract Powder, Asiatic Acid, Centella Asiatica, Asiaticoside, Madecassoside
Send Inquiry
